Беременность – особое состояние организма, когда любое повреждающее воздействие может негативно повлиять сразу на две жизни: мать и плод. Новая коронавирусная инфекция (НКВИ) расценивается как глобальная чрезвычайная ситуация мирового масштаба, причем опасность представляют как сама инфекция, так и ее отдаленные последствия. Особого внимания заслуживает исследование течения и исходов беременности у женщин, перенесших НКВИ на разных этапах гестационного процесса. Данные об особенностях течения беременности, состоянии плода и новорожденного от беременности, осложненной инфицированием вирусом SARS-CoV-2, на разных этапах гестации продолжают накапливаться. Однако зачастую их недостаточно для полной всесторонней оценки для матери и плода, прогнозирования отдельных рисков и отдаленных последствий. Особенно неоднозначны и фрагментарны сведения о течении и исходах беременности при перенесенной в I триместре НКВИ.
Большинство публикаций показало, что в I триместре беременности, как правило, НКВИ протекает в бессимптомной и легкой формах; никаких особенностей протекания инфекции у беременных I триместра не выявлено [1, 2]. Однако описаны случаи неблагоприятных исходов беременности через непродолжительное время после перенесенного инфекционного процесса, а именно – самопроизвольное прерывание беременности, которое не было предотвращено при назначении сохраняющей терапии [3–6]. Описаны также случаи формирования тяжелого повреждения внутриутробного плода в виде универсальной водянки, повлекшей за собой антенатальную гибель плода в первой половине беременности. При этом установлена длительная персистенция вируса в тканях плода, плаценте и плодных оболочках, тогда как из организма матери вирус уже элиминировался. При экспериментальных исследованиях установлено, что уже в ранние сроки беременности в тканях трофоэктодермы и будущей плаценты присутствуют ACE2- и TMPRSS2-позитивные клетки, что указывает на возможность того, что SARS-CoV-2 может распространяться через плаценту и вызывать внутриутробную инфекцию плода. Таким образом, эмбрион и плод становятся уязвимыми для поражения коронавирусом [7–10].
При этом не только вертикальная передача вируса при перенесенной коронавирусной инфекции в I триместре значима для формирования осложнений беременности [11]. Установлено, что у пациенток в I триместре на фоне коронавирусной инфекции зарегистрировано гиперкоагуляционное состояние, которое провоцирует мальперфузию в будущей материнской части плаценты. При этом признаков нарушения инвазии трофобласта авторы не установили [12]. Однако подтвержден значимо более высокий, по сравнению с непереболевшими беременными, риск преэклампсии [13], в основе которой, по мнению авторов, лежат материнские факторы (избыточный вес, гипертензионные состояния), которые являются факторами риска более тяжелого течения инфекционного процесса [14–16]. В нескольких работах подтверждены также нарушения углеводного обмена у матери после перенесенного инфекционного заболевания [17].
В целом при анализе публикаций, посвященных проблеме перенесенной в I триместре беременности НКВИ, выявлено, что нет единого мнения о ее влиянии на дальнейшее течение беременности и перинатальные исходы.
Обращает внимание небольшой объем выборок в изученных публикациях, что не позволяет сделать масштабные выводы. Таким образом, необходимы дальнейшее накопление фактов и изучение влияния перенесенной в I триместре беременности НКВИ на беременность, фетоплацентарную систему, состояние плода, перинатальные исходы.
Цель исследования: изучить особенности течения беременности, родов, перинатальные исходы у женщин, перенесших НКВИ в I триместре беременности.
Материалы и методы
На первом этапе работы нами был проанализирован регистр COVID-19 у беременных и родильниц Уральского федерального округа (УФО) за 2020–2021 гг. Всего по УФО НКВИ за 2020 и 2021 гг. перенесли 17 543 беременных и родильниц, из них в I триместре беременности – 2347 пациенток.
На втором этапе исследования проведено одноцентровое поперечное сравнительное исследование в соответствии с положением для наблюдательных исследований STROBE [18]. На базе COVID-госпиталя ФГБУ «НИИ ОММ» Минздрава России проведено лечение 823 беременных с подтвержденным диагнозом НКВИ легкой и среднетяжелой формы в первую, вторую и третью «волны» эпидемического процесса. Из них у 131 пациентки заболевание SARS-CoV-2 пришлось на I триместр беременности (сроки от 3 до 12,6 недели), средний срок беременности в момент НКВИ составил 7,5 (2,8) недели. Эти пациентки составили основную группу.
Группу сравнения составили 216 пациенток, родоразрешенных в «доковидном» периоде (2019 г.) без указаний на ОРВИ в период беременности и родоразрешения. Данная группа была набрана методом случайного отбора с помощью таблицы случайных чисел согласно разделам 6.1, 6.2. ГОСТ «Процедуры отбора случайной выборки и рандомизации» [19]. Набор группы сравнения проведен из базы данных системы «Региональный акушерский мониторинг». Расчет размера выборки группы сравнения произведен с помощью калькулятора мощности Sealed Envelope Ltd [20].
Проведен анализ течения беременности, особенностей родоразрешения и состояния новорожденных от женщин данных групп.
Критерии включения в исследование: беременные с подтвержденным диагнозом НКВИ легкой и среднетяжелой формы в сроках гестации от 3 до 12,6 недели; подписанное информированное согласие на участие в исследовании. Критерии невключения: срок беременности более 13 недель на момент заболевания НКВИ. Инфекция COVID-19 была подтверждена с помощью полимеразной цепной реакции (ПЦР), с выявлением антигена SARS-CoV-2 в образце мазков из верхних дыхательных путей (носоглоточный/ротоглоточный экссудат). Тяжесть заболевания определялась при поступлении согласно критериям, изложенным во 2, 3, 4, 5-й версиях Методических рекомендаций по организации оказания медицинской помощи беременным, роженицам, родильницам и новорожденным при НКВИ COVID-19 [21].
Для изучения особенностей течения беременности и родов были собраны подробные сведения о пациентках: об их возрасте, сроке беременности на момент инфицирования SARS-CoV-2, эпидемиологическом анамнезе, сопутствующих заболеваниях, осложнениях во время беременности и родов. Состояние новорожденных оценивалось по шкале Апгар на 1-й и 5-й минутах, антропометрическим данным и степени доношенности. Женщины родоразрешены в условиях родильных домов города Екатеринбурга и Свердловской области.
Было проведено макро- и микроскопическое исследование 10 плацент от женщин основной группы. Макроскопическое исследование включало измерение размеров и толщины плаценты, определение характера прикрепления, диаметра пуповины, наличия патологической извитости и/или ложных узлов. Отмечались патологические изменения в оболочках и ткани плаценты. Из каждой плаценты отбирались фрагменты пуповины, оболочек, участки материнской и плодовой поверхности у пуповины и у края диска. Далее материал фиксировали в 10% забуференном формалине, парафиновые блоки подготавливали по стандартной методике. Срезы толщиной 4 мкм окрашивали гематоксилином и эозином по стандартной методике.
Исследование одобрено Этическим комитетом Уральского научно-исследовательского института охраны материнства и младенчества (протокол № 12 от 21.09.2020 г.). Основным ограничением второго этапа этого исследования является возможность систематической ошибки отбора из-за одноцентрового характера исследования (на этапе лечения от НКВИ); однако в последующем пациентки родоразрешались в различных родильных домах и перинатальных центрах Свердловской области.
Статистический анализ
Статистическую обработку данных производили с использованием статистического пакета программ Microsoft Excel (2010), SPSS Statistics версия 22.0 (IBM Microsoft, США).
Проверка гипотезы о нормальном распределении выборки осуществлялась с помощью критериев Колмогорова–Смирнова и Шапиро–Уилка согласно регламенту SPSS Statistics версия 22.0 (IBM Microsoft, США). Процедура проверки равенства дисперсий выполнена по f-критерию в пакете SPSS Statistics версия 22.0, которая непосредственно включена в процедуру проверки гипотезы о различии средних. Данные представлены в виде среднего арифметического (М) и стандартного отклонения (SD), значения для качественных категориальных переменных представлены как число субъектов (n) и процент (%). Сравнение частот для качественных признаков проводилось путем анализа четырехпольных таблиц с использованием критерия χ2. Если частота исхода превышала 10% для сравнения групп по номинальным признакам, выбрано отношение рисков (ОР) с доверительным интервалом 95% (95% ДИ). Если частота исхода не превышала 10% для сравнения групп по номинальным признакам, выбрано отношение шансов (ОШ) с доверительным интервалом 95% (95% ДИ). Качественные порядковые (ординальные) признаки представлены в виде медианы и IQR (интерквартильный размах) в формате Me (Q1:Q3). Проверка гипотез при этом осуществлялась по U-критерию Манна–Уитни.
Результаты и обсуждение
При проведенном на первом этапе анализе регистра COVID-19 у беременных УФО установлено, что за 2020–2021 гг. НКВИ в I триместре беременности перенесли 2347 пациенток, что составило 13,4% всех заболевших беременных и родильниц. У 22 пациенток на фоне заболевания беременность прервалась, что составило 0,94%.
Оценивая клинические проявления инфекции, следует отметить, что 926 беременных (39,5% всех заболевших в I триместре пациенток) перенесли инфекцию практически без симптомов; в легкой степени НКВИ перенесли 831 (35,4%) женщина, в среднетяжелой форме – 559 (23,8%) женщин; только у 31 пациентки (1,3% всех заболевших в I триместре) зарегистрировано тяжелое течение НКВИ. Случаев крайне тяжелого течения инфекционного процесса, относящихся к категории near miss (едва не умерших), а также случаев материнской смертности среди пациенток, перенесших НКВИ в I триместре, не зарегистрировано.
При анализе частоты самопроизвольного прерывания беременности на высоте заболевания у пациенток, заболевших в I триместре беременности, отмечено, что при бессимптомных, легких и среднетяжелых формах инфекционного процесса частота выкидышей составляет 0,7, 0,8 и 0,5% соответственно. Однако при COVID-19 тяжелой степени в I триместре беременность прервалась в 19,4% случаев (6 из 31). Таким образом, можно сделать вывод, что при тяжелой степени течения НКВИ в I триместре беременности на высоте заболевания каждая пятая беременность прерывается.
На втором этапе работы проведен анализ особенностей течения, исходов беременности у 131 пациентки (основная группа), перенесшей НКВИ в I триместре, в сравнении с 216 пациентками, выносившими беременность и родоразрешенными в «доковидную» эпоху (2019 г.) (группа сравнения). Средний возраст пациенток основной группы составил 30,7 (6,1) года, пациенток группы сравнения – 29,1 (5,7) года. По паритету в группе переболевших НКВИ в I триместре беременности преобладали повторнородящие (86/131 (65,6%) против 94/216 (43,1%) соответственно, p<0,001). Первобеременных в основной группе было значимо меньше: в основной группе 15/131 (11,5%), в группе сравнения – 63/216 (29,2%), p<0,001. Повторнобеременных первородящих с отягощенным акушерским анамнезом (аборты, выкидыши) в основной группе было 30/131 (22,9%), в группе сравнения – 60/216 (27,5%), р=0,73 (табл. 1).

При анализе данной таблицы отмечено, что группы сопоставимы по основным отягощающим акушерский анамнез патологиям. Не было значимых различий по частоте невынашивания беременности, бесплодия в анамнезе, предыдущих оперативных родоразрешений, медицинских абортов в анамнезе, миомы матки, доле многорожавших пациенток.
При оценке соматического анамнеза пациенток сравниваемых групп выявлены значимые различия по классу «болезни органов пищеварения»: в основной группе такими заболеваниями, как хронический гастродуоденит, язвенная болезнь желудка, хронический холецистит, хронический панкреатит, страдали 15,7% пациенток, в группе сравнения – 8,4%. Кроме этого, имеются значимые различия в частоте болезней мочевыделительной системы (в основном это хронический пиелонефрит): в основной группе пациентки имели в анамнезе эти заболевания в 2,4 раза чаще, чем в группе сравнения. Также в 2,5 раза чаще у пациенток основной группы встречался гипотиреоз. Однако на момент вступления в беременность все вышеперечисленные заболевания были в стадии компенсации. Следует отметить, что по таким патологиям, как ожирение и гипертоническая болезнь, сахарный диабет и ВИЧ-инфекция, которые ухудшают прогноз течения НКВИ [14–16], значимых различий между группами не получено.
При поступлении в стационар у 95/131 (72,5%) пациенток I триместра беременности зарегистрировано легкое течение НКВИ и у 36/131 (27,5%) человек – среднетяжелое течение. Клиническая картина НКВИ легкой степени тяжести характеризовалась развитием симптомов острого ринофарингита, аносмией и гипосмией, слабостью. При среднетяжелом течении НКВИ, помимо вышесказанных симптомов, отмечались: подтвержденная рентгенологически пневмония, лихорадка, уровень С-реактивного белка выше 10 мг/л, симптомы дыхательной недостаточности [22].
Заслуживают отдельного анализа случаи невынашивания беременности на фоне инфекционного процесса. В нашем исследовании отмечено 2 случая выкидышей в момент заболевания НКВИ у пациенток I триместра. Обращает внимание, что оба выкидыша произошли в третью «волну» НКВИ.
Пациентка Б., повторнобеременная, 29 лет, поступила в ковид-госпиталь НИИ ОММ 17.08.21 с диагнозом: Беременность 5–6 недель. Отягощенный акушерско-гинекологический анамнез (медицинский аборт). Угроза прерывания беременности. НКВИ, подтвержденная, легкое течение. В день поступления пациентка отметила обильные темно-кровянистые выделения из половых путей, постоянную тянущую боль внизу живота. При ультразвуковом исследовании сердцебиение плода отсутствовало, во время осмотра зафиксирован «аборт в ходу». Выполнена вакуум-аспирация содержимого полости матки под внутривенной анестезией, без осложнений. На 3-и сутки после операции был получен отрицательный результат обследования пациентки на наличие РНК SARS-CoV-2 в носоглоточном мазке методом ПЦР.
Пациентка Б., повторнородящая, 42 лет, госпитализирована 22.08.21 с диагнозом: Беременность 11–12 недель. Отягощенный акушерско-гинекологический анамнез (медицинские аборты). Рубец на матке от операции кесарева сечения. Хроническая артериальная гипертензия 1-й степени. Хронический пиелонефрит, ремиссия. Угроза прерывания беременности. НКВИ, подтвержденная, легкое течение. 29.08.21 на 7-е сутки от момента поступления в стационар в сроке 12–13 недель пациентка предъявила жалобы на периодические схваткообразные боли внизу живота, обильные темно-кровянистые выделения из половых путей. При ультразвуковом исследовании сердцебиение плода не определялось, при осмотре зафиксирован «аборт в ходу». Произведена вакуум-аспирация содержимого полости матки под внутривенной анестезией. Послеоперационный период протекал без осложнений. На 4-е сутки после операции был получен отрицательный результат ПЦР-теста на COVID-19.
Кроме вышеописанных случаев самопроизвольного прерывания беременности, в нашей практике зафиксировано 2 случая прерывания беременности по медицинским показаниям в связи с выявленными редкими летальными пороками развития плода.
Пациентка Б., первобеременная, 26 лет. Находилась на лечении в COVID-отделении НИИ ОММ с 29.07.20 по 08.08.20 в сроке гестации 4–5 недель в связи с НКВИ легкого течения. При проведении трансвагинального ультразвукового исследования в сроке 12–13 недель выявлено: теменно-воротниковое пространство более 96 процентиля, гипоплазия/отсутствие визуализации носовых костей и омфалоцеле, выраженная деформация позвоночника (рис. 1), сердце ротировано, эвентрация органов брюшной стенки в хориальную полость, паренхима почек повышенной эхогенности, кранио-каудальный размер 57,6 мм. Пуповина находится между оболочками 26 мм, свободные петли не визуализируются, расширенные яремные мешки.

Заключение: Беременность 12–13 недель. Врожденный порок развития плода: аномалия стебля тела.
Необходимо отметить, что аномалия стебля тела относится к врожденным порокам развития брюшной стенки и характеризуется отсутствием пуповины и пупочного кольца. В результате неполного слияния амниона и хориона по периферии вследствие неправильного развития цефалической, каудальной и латеральной эмбриональных складок туловища на 3–4-й неделе эмбриогенеза не происходит формирования пуповины. Частота выявления данной патологии 1:14 000–42 000 беременностей [23–25].
Пациентка А., повторнородящая, 40 лет. В сроке беременности 4–5 недель перенесла НКВИ средней степени тяжести. В ходе ультразвукового скрининга I триместра в 12–13 недель обнаружен врожденный порок центральной нервной системы у плода: рахишизис в пояснично-крестцовом отделе, аномалия задней черепной ямки, увеличение теменно-воротникового пространства.
Из данных литературы известно, что рахишизис – одна из форм незаращения спинного канала, относящаяся к группе миелодисплазий пояснично-крестцового отдела позвоночника. Данный дефект входит в структуру клоакальной экстрофии, так называемый OEIS-комплекс (О – омфалоцеле, Е – экстрофия мочевого пузыря, I – атрезия ануса, S – деформации позвоночника, включая аномалии позвонков, расщепление позвоночника и дефекты крестца). Частота выявления OEIS-комплекса составляет 1:200 000–400 000 [23–25].
В целом частота невынашивания беременности у пациенток основной группы следующая: беременность закончилась самопроизвольными выкидышами у 12 пациенток из 131, что составило 9,2%. В 2 случаях из 12, описанных выше, беременность прервалась на высоте заболевания, в остальных 10 случаях – в постковидном периоде в сроки от 6–7 до 15–16 недель. Эти выкидыши происходили в среднем через 14 (0,5) дней после выписки из стационара и констатации клинического выздоровления пациенток от НКВИ. Причем инфекционный процесс у этих пациенток проявлялся преимущественно в легкой форме.
В целом 117 пациенток из 131 перенесшей НКВИ в I триместре преодолели срок гестации 22 недели. У них были оценены особенности течения беременности и исходы (табл. 2).
Как видно из данной таблицы, по большинству патологий беременности между основной группой и группой сравнения значимых различий не выявлено. Однако беременность после НКВИ в I триместре значимо чаще осложнялась угрозой преждевременных родов по сравнению с группой пациенток, вынашивающих беременность в «доковидную» эпоху (2019 г.). Кроме этого, значимо чаще у пациенток основной группы регистрировались гипертензионные состояния, осложняющие беременность; причем данная патология проявлялась в форме гестационной артериальной гипертензии. Значимого увеличения частоты преэклампсии не выявлено. У пациенток после НКВИ в I триместре не увеличился риск гестационного сахарного диабета, плацентарной недостаточности, нарушений маточно-плацентарного кровообращения, преждевременной отслойки плаценты.
При анализе данных таблицы 3 обращает внимание следующее: у пациенток, перенесших НКВИ в I триместре, средний срок родоразрешения значимо меньше, чем у родоразрешавшихся в «доковидную» эпоху. При общей практически одинаковой частоте кесаревых сечений у пациенток сравниваемых групп структура родоразрешений различна: в группе сравнения значимо преобладают плановые, а в основной группе – экстренные оперативные родоразрешения.

Обращает на себя внимание, что антропометрические данные новорожденных от пациенток, перенесших НКВИ в I триместре беременности, статистически значимо меньше, чем от пациенток, родоразрешенных в «доковидную» эпоху. Это можно связать с тенденцией к увеличению числа недоношенных новорожденных, а также с неблагоприятными условиями развития новорожденных в материнской утробе, начиная с самых ранних этапов, а также с уменьшением среднего срока родоразрешений более чем на 1 неделю. Несмотря на равные медианы, различия оценки новорожденных по шкале Апгар как на 1-й, так и на 5-й минутах после рождения значимы по U-критерию Манна–Уитни с учетом межквартильных интервалов.
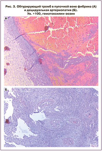
В свете этого нами была проанализирована морфология плацент от матерей, перенесших НКВИ в I триместре беременности (рис. 2, 3). У женщин с инфекцией COVID-19, перенесенной в I триместре, в плацентах отмечались признаки нарушения как материнского, так и плодового кровотока (материнская и плодная мальперфузия). Практически во всех плацентах были отмечены признаки децидуальной артериопатии, атероза, фибриноидного некроза сосудов децидуальной пластинки, гипертрофии стенок артериол плацентарных оболочек. Среди признаков плодовой сосудистой мальперфузии наиболее часто регистрировались интрамуральные отложения фибрина в сосудах, стромально-сосудистый кариорексис, необтурирующие тромбы в сосудах. Ворсинчатый хорион демонстрировал дефицит терминальных ворсин и задержку созревания на стадии промежуточных зрелых ворсин. Отмечались фокальный отек стромы ворсин, хорангиоз. В межворсинковом пространстве во всех плацентах было повышенное содержание фибрина и наличие межворсинковых тромбов.

Заключение
Таким образом, суммируя наши результаты, можно сделать следующие выводы: НКВИ в I триместре беременности значимо увеличивает риск гестационной артериальной гипертензии, угрозы преждевременных родов; средний срок родоразрешения значимо меньше, чем при родоразрешении пациенток в «доковидную» эпоху.
Невынашивание беременности у женщин, перенесших НКВИ в легкой и среднетяжелой форме в I триместре, зарегистрировано в 9,2% случаев. При тяжелой степени течения НКВИ в I триместре беременности на высоте заболевания каждая пятая беременность прервалась (19,4%). У 2 пациенток, перенесших НКВИ в сроки гестации до 6 недель, выявлены тяжелые, несовместимые с жизнью пороки развития плода, которые в популяции крайне редки.
Установлено значимое снижение антропометрических данных новорожденных по всем параметрам (масса, длина тела, окружность головки и окружность груди), а также оценки по шкале Апгар на 1-й и 5-й минутах после рождения, несмотря на равные медианы. Это связано с более ранним родоразрешением, а также с плацентарными нарушениями: у женщин с инфекцией COVID-19, перенесенной в I триместре, в плацентах отмечались признаки нарушения как материнского, так и плодового кровотока (материнская и плодная мальперфузия).



